■ 問26
32歳女性。急性関節炎、サーモンピンク疹出現後、発熱とともに改善。誤っているものはどれか。
a. 関節破壊に注意する
b. CRP上昇がみられる
c. 血清フェリチン値が上昇する
d. リウマトイド因子は陽性である
e. トシリズマブは治療薬の1つである
正解:d
解説:成人Still病
- RA因子・抗CCP抗体は陰性。フェリチン↑が特徴的。
■ 問27
関節リウマチの薬物治療で誤っている組合せを2つ選べ。
a. 葉酸 → メトトレキサート副作用予防
b. デノスマブ → 軟骨破壊予防効果
c. トシリズマブ → 第一選択薬として使用
d. メトトレキサート → 骨破壊予防効果
e. ヤヌスキナーゼ阻害薬 → 帯状疱疹の誘発
正解:b, c
解説:
- デノスマブは骨吸収抑制薬。軟骨への直接効果はない。
- トシリズマブは第一選択薬ではなく、MTX等で効果不十分時に使用。
■ 問28
RAの単純X線所見で通常みられないものを2つ選べ。
a. geode(骨洞)
b. pencil-in-cup変形
c. Otto pelvis(臼底突出症)
d. Schmorl nodule(椎体内ヘルニア)
e. marginal erosion(関節辺縁のびらん)
正解:b, d
解説:
- pencil-in-cupは乾癬性関節炎、Schmorl結節は椎体内の変性所見。
■ 問29
52歳女性。右股関節痛、RA因子・CRP陰性。最も考えられる疾患はどれか。
a. 滑膜骨軟骨腫症
b. 関節リウマチ
c. 臼蓋関節唇損傷
d. 腱滑膜巨細胞腫
e. 脊椎関節炎
正解:a
解説:
- 多発性骨様陰影・関節内遊離体が特徴的=滑膜骨軟骨腫症の典型像。
- ちなみに病理分類で Milgram分類というのがある。第1期は関節内に遊離体のみられない滑膜内病変期。第2期は滑膜内病変と関節内遊離体の両者が存在する移行期。第3期は滑膜病変は消退し関節内に多数の遊離体がみられる時期。
■ 問30
DVT予防法について正しいものを3つ選べ。
a. 多発外傷患者で受傷直後より抗凝固薬を使用
b. 通常リスクの膝関節鏡視下手術で薬物予防を行う
c. 大腿骨転子部骨折の待機手術で術前より薬物予防を行う
d. 椎体骨折の待機手術で術前にDVT検索を行う
e. 人工膝関節全置換術で理学的予防、薬物予防のいずれかを行う


正解:c, d, e
解説:
- 重症例や高リスク手術では予防が必要。抗凝固薬の使用には出血リスクも考慮が必要。
■ 問31
Kienböck病について正しいのはどれか。
a. 女性に好発する
b. 保存的療法は無効である
c. 手舟状骨の無腐性壊死である
d. 手関節の可動域制限はきたさない
e. Lichtmanの病期分類が用いられる
正解:e
解説:
- Kienböck病は月状骨の無腐性壊死。病期分類にLichtman分類が使われる。
- 男性に好発し、保存療法が有効なこともある。
🧠 Lichtman分類(Kienböck病)
| 病期 | 特徴 | 画像所見 | 治療の一例 |
|---|---|---|---|
| Stage I | 初期 | X線では異常なし(MRIで信号変化) | 保存療法(安静・装具など) |
| Stage II | 密度上昇 | 月状骨の骨硬化(扁平化はない) | 採血して血流評価、橈骨短縮術など |
| Stage IIIA | 扁平化 | 月状骨が扁平化、近位列は整っている | 橈骨短縮術、血行再建術など |
| Stage IIIB | 進行変形 | 月状骨の扁平化+手根列のカーフィア角増加(回旋) | 複合的な骨切り術、関節固定など |
| Stage IV | 関節症 | 手根関節全体に変形性変化あり | 手関節固定術、部分関節切除、再建不能例は疼痛緩和 |
■ 問32
Perthes病について正しいのはどれか。3つ選べ。
a. 好発年齢は3–5歳である
b. 初期X線で大腿骨頭の軟骨下骨折が見られる
c. 股関節の外転・内旋が制限される
d. 大腿骨内反骨切り術が一般的な手術法である
e. 低年齢発症例は予後不良である
正解:b, c, d
解説:
- 好発年齢は5–7歳。低年齢ほど予後は良好。
■ 問33
軟骨無形成症のX線所見で誤っているのはどれか。
a. 坐骨切痕が小さい
b. 骨幹端部の杯状変形
c. 椎体後縁の舌状変形
d. 腓骨が脛骨より相対的に長い
e. 下位腰椎部で椎弓根間距離が狭くなる

正解:c
解説:
- 椎体後縁の舌状変形は軟骨無形成症にはみられない。他の所見は典型的。
■ 問34
先天性内反足について誤っているのはどれか。
a. 両側例と片側例の比率は同程度である
b. 距骨頚部は短縮内反している
c. 踵骨前方が距骨の下に入り込んでいる
d. 矯正ギプスの初期では前足部を回内させて矯正する
e. 治療による合併症で舟底変形がある
正解:d
解説:
- Ponseti法では前足部を回外しつつ外転させて矯正開始。回内は誤り。
■ 問35
8歳男児、股関節痛。画像所見から正しいものを2つ選べ。
a. 安定型である
b. 可動域制限は生じない
c. 保存的療法が選択される
d. crescent signが認められる
e. 大腿骨骨端部が後方に転位している

正解:a, e
解説:大腿骨頭すべり症(SCFE)
- 安定型・後方転位が画像で確認される。
■ 問36
ビタミンD欠乏性くる病と骨軟化症について誤っているのはどれか。
a. 血清25(OH)Dは低値を示す
b. 組織学的には類骨が減少する
c. 紫外線暴露不足は原因になりうる
d. 血清カルシウム値は正常または低値である
e. 小児ではX線で骨端線の拡大がみられる
正解:b
解説:
- 類骨はむしろ増加する。骨化不全のため未石灰化骨基質が蓄積する。
■ 問37
ビスフォスフォネート製剤について誤っているのはどれか。2つ選べ。
a. 骨吸収を阻害する
b. 破骨細胞に作用する
c. 骨密度の低下をきたす
d. 合併症として顎骨壊死がある
e. 悪性腫瘍の骨転移には効果がない
正解:c, e
解説:
- BP製剤は骨吸収を抑制し骨密度を上昇させる。がんの骨転移治療にも用いられる。
■ 問38
骨・軟部腫瘍の画像所見の組合せで誤っているのはどれか。
a. 線維性骨異形成 → 羊飼いの杖変形(Shepherd’s crook deformity)
b. Ewing肉腫 → 玉ねぎ様骨膜反応(Onion-skin periosteal reaction)
c. 骨巨細胞腫 → 石鹸泡状陰影(Soap-bubble appearance)
d. 多発性骨髄腫 → 抜き打ち像(Punched-out lesion)
e. 血管腫 → 標的徴候(Target sign)
正解:e
解説:
- 標的徴候(target sign)は神経鞘腫に特徴的。血管腫では見られない。
■ 問39
軟部腫瘍の生検について正しいものを2つ選べ。
a. 切開生検の皮切はその後の手術を想定してデザインする
b. 病理検査依頼時の臨床情報は最小限にする
c. 神経原性腫瘍を疑うときは盲目的な針生検を避ける
d. 神経と血管を確認し確保して行う
e. 筋間を進入する
正解:a, c
解説:
d. これは本手術時に重要な原則だが、生検の際にはできるだけ神経や血管に触れないように行うのが基本。万一悪性腫瘍であれば、生検針が神経・血管を汚染してしまい、切除不能になるリスクもある。
e. 筋間は腫瘍の浸潤や播種経路になりやすく、汚染領域が拡大する可能性がある。原則として「筋を貫いて腫瘍最短距離を通す」進入が望ましい(→術中に筋ごと切除可能だから)。
■ 問40
65歳男性。腰背部痛、X線と血液検査所見あり。次に行うべき検査はどれか。2つ選べ。
a. 生検
b. 体幹部CT
c. 腰椎骨密度測定
d. 尿中免疫電気泳動
e. 上部消化管内視鏡検査

正解:b, d
解説:多発性骨髄腫
- 高カルシウム血症・低アルブミン・貧血から多発性骨髄腫が疑われ、尿中Bence Jones蛋白の評価が重要。
■ 問41
74 歳の女性.左手をついて立ち上がろうとした際に,左上腕が変形し激痛が生じたため受診した.左上腕骨単純X 線正面像を示す.その後検査で腎癌が発見された.病状の評価と今後の治療方針について正しいのはどれか.
a 手術適応にはならない.
b 移動能力には影響がない.
c 骨軟部腫瘍専門医でなければ対応は困難である.
d がん治療の継続のために移動機能の維持が重要である.
e 原発病変の治療に先行して上腕骨の治療を開始することはない.

正解:d
■ 問42
筋萎縮性側索硬化症に関して誤っているのはどれか.2 つ選べ.
a 中年以降で発症する.
b 舌の線維束性収縮を伴う.
c 脊髄後角細胞の著明な変性脱落を認める.
d 末梢神経の神経伝導速度は早期から低下する.
e 頚椎症性脊髄症との鑑別疾患として重要である.
正解:c,d
解説:
- ALSでは主に前角細胞(運動ニューロン)が障害される。
- ALSは軸索障害が主体であり、神経伝導速度は保たれる(正常~軽度低下)。
- 脱髄性疾患(例:CIDPやGBS)では伝導速度が著明に低下する。
■ 問43
肘部管症候群の症状・身体所見として誤っているのはどれか。2つ選べ。
a. 下垂指
b. 骨間筋萎縮
c. 母指対立障害
d. 母指内転筋力低下
e. 環指尺側と小指の感覚障害
正解:a, c
■ 問44
ロコモ度について正しいのはどれか。2つ選べ。
a. ロコチェックによって評価する。
b. ロコモ度1から4の4段階で評価する。
c. ロコモ度1では移動機能の低下が始まっている。
d. ロコモ度2では整形外科専門医による診断および治療が必要である。
e. ロコモ度3では移動機能の低下が進行し社会生活に支障をきたしている。
正解: c, e
解説:
ロコモ度1:移動機能の低下が始まっている状態。
ロコモ度2:移動機能の低下が進行している状態
ロコモ度3:移動機能が低下し、社会参加に支障をきたしている状態
ロコモチェックは、7つの評価項目での簡易チェック。
評価は立ち上がりテスト、2ステップテスト、ロコモ25でチェック。
■ 問45
サルコペニアについて誤っているのはどれか。
a. 身体的フレイルと同義である。
b. 定義に骨格筋量の減少が含まれる。
c. スクリーニングとして下腿周囲長の計測が推奨されている。
d. 握力の低下によってサルコペニア(可能性あり)と診断される。
e. 手術患者の死亡リスクを上昇させる。
正解:a
解説:
・サルコペニア=加齢による筋肉量の減少および筋力の低下のこと
・フレイル=サルコペニアを経て生活機能が全般に衰える状態。
健康状態と要介護状態の中間状態的な概念。
■ 問46
肩甲下筋断裂の診断に有用な徒手検査はどれか。2つ選べ。
a. Speed test
b. Lift off test
c. Yergason test
d. Belly press test
e. Anterior apprehension
正解:b, d
解説:
a,c:上腕二頭筋長頭腱断裂 e:前方不安定性
■ 問47
61歳の男性。半年前より続く右肩の挙上不全と可動時痛を主訴として来院した。右肩関節単純X線正面(true AP)像を示す。正しいのはどれか。3つ選べ。
a. 肩峰下に骨棘を認める。
b. 腱板断裂の合併はない。
c. 上腕骨頭の大結節は消失している。
d. 肩甲上腕関節に関節症変化を認める。
e. 解剖学的人工肩関節全置換術の適応である。

正解:a, c, d
■ 問48
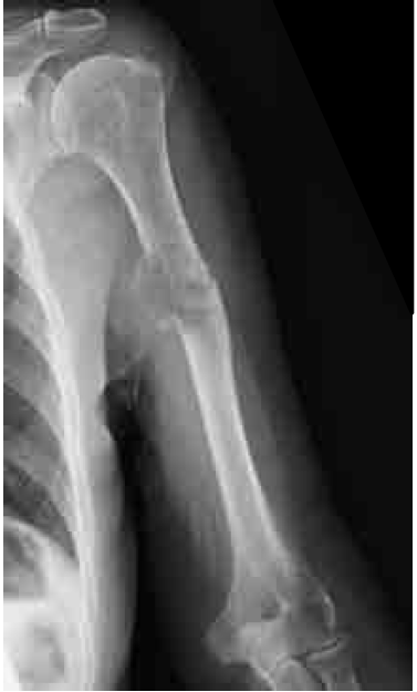
31歳の女性。転倒により右肘を床に強打し、接骨院で施術を受けた。受傷3か月後に肘関節可動域制限を訴え来院した。初診時右肘関節単純X線像を示す。この症例について誤っているのはどれか。2つ選べ。
a. 腱付着部の石灰化である。
b. 早期より病巣切除を行う。
c. エチドロネートは病態を抑制する。
d. 非ステロイド性抗炎症薬は有効である。
e. 血清アルカリホスファターゼ値が上昇する。


正解:a, b
解説:骨化性筋炎
b:骨化が成熟する前(通常6~12か月)に手術を行うと再発リスクが高い
c:骨形成抑制作用のあるビスフォスフォネート(例:エチドロネート)は異所性骨化の予防や進行抑制に使われる。
d:NSAIDs(特にインドメタシン)は、骨芽細胞活性を抑制し、異所性骨化の発生を予防・抑制する効果がある
e:骨形成が活発になる過程で、ALP(骨型)が上昇することがある。特に進行期や成熟期においては明確な所見となる。
問49削除
■ 問50
手根管症候群について誤っているのはどれか。
a. 環指の感覚は保たれる。
b. Phalenテストが陽性になる。
c. 最も頻度の高い絞扼性神経障害である。
d. 透析患者におけるアミロイド性滑膜炎が原因となりうる。
e. 手根骨と横手根靱帯で囲まれたトンネルを正中神経が走行する。
正解:a
コメント